read about
The Low Institute for Therapeutics (LIFT) is a non-profit drug discovery institute dedicated to reducing human suffering and mortality through research and drug discovery. Below is a list of publications that support our mission.

August 1, 2024
Because of upregulated expression on cancer-associated fibroblasts, fibroblast activation protein (FAP) has emerged as an attractive biomarker for the imaging and therapy of solid tumors. Although many FAP ligands have already been developed for radiopharmaceutical therapies (RPTs), most suffer from inadequate tumor uptake, insufficient tumor residence times, or off-target accumulation in healthy tissues, suggesting a need for further improvements. Methods: A new FAP-targeted RPT with a novel ligand (FAP8-PEG3-IP-DOTA) was designed by combining the desirable features of several previous ligand-targeted RPTs.
Read more >
March 8, 2024
Spinal fusions are performed to treat congenital skeletal malformations, spondylosis, degenerative disk diseases, and other pathologies of the vertebrae that can be resolved by reducing motion between neighboring vertebrae. Unfortunately, up to 100,000 fusion procedures fail per year in the United States, suggesting that efforts to develop new approaches to improve spinal fusions are justified. We have explored whether the use of an osteotropic oligopeptide to target an attached bone anabolic agent to the fusion site might be exploited to both accelerate the mineralization process and improve the overall success rate of spinal fusions.
Read more >
October 20, 2023
Folate receptor delta (FRδ) has been used as a biomarker for regulatory T cells (Tregs), because its expression is limited to Tregs and ovum. Although FRδ is unable to bind folate, we have used molecular docking software to identify a folate congener that binds FRδ with high affinity and have exploited this FRδ-specific ligand to target attached drugs (imaging agents, immune activators, and immune suppressors) specifically to Tregs in murine tumor xenografts. Analysis of treated tumors demonstrates that targeting of a Toll-like receptor 7 agonist inhibits Treg expression of FOXP3, PD-1, CTLA4, and HELIOS.
Read more >
February 1, 2021
This Cancer Research study shows that folate receptor-β (FRβ) defines an immunosuppressive subset of tumor-associated myeloid cells—MDSCs and macrophages—across mouse and human tumors. Because FRβ is selectively expressed on these cells, folate-linked drugs can be delivered directly to them. Targeted stimulation (e.g., a folate-conjugated TLR7 agonist) reprogrammed these cells, reduced suppressive activity, increased CD8+ T-cell infiltration, shifted macrophages toward pro-inflammatory phenotypes, and slowed tumor growth in mice. FRβ is thus both a marker and a therapeutic entry point to remodel the tumor microenvironment.
Read more >
January 10, 2021
This Journal of Controlled Release study evaluates a bone fracture–targeting platform that systemically delivers pro-healing agents directly to the injury. Angiogenic peptides (e.g., the VEGF-mimetic QK) are conjugated to acidic oligopeptides that bind exposed hydroxyapatite, concentrating drug at the fracture callus while sparing healthy tissues. In murine femur-fracture models—including diabetic mice—the targeted therapy increased callus BV/TV and maximum load versus saline and showed no adverse liver or kidney effects. The approach aims to accelerate revascularization and repair by boosting local efficacy and reducing systemic exposure.
Read more >
October 28, 2020
Idiopathic pulmonary fibrosis (IPF) is driven by collagen-producing myofibroblasts. This study targets those cells via fibroblast activation protein (FAP), using a small-molecule ligand to deliver a PI3K/mTOR inhibitor to profibrotic fibroblasts. In patient-derived cells, the conjugate suppressed PI3K signaling and collagen synthesis. In a mouse model, systemic dosing focused activity in diseased lungs, lowered hydroxyproline and histologic fibrosis, and improved survival. By limiting drug action to FAP-positive cells, the approach supports a selective, disease-modifying strategy for IPF.
Read more >
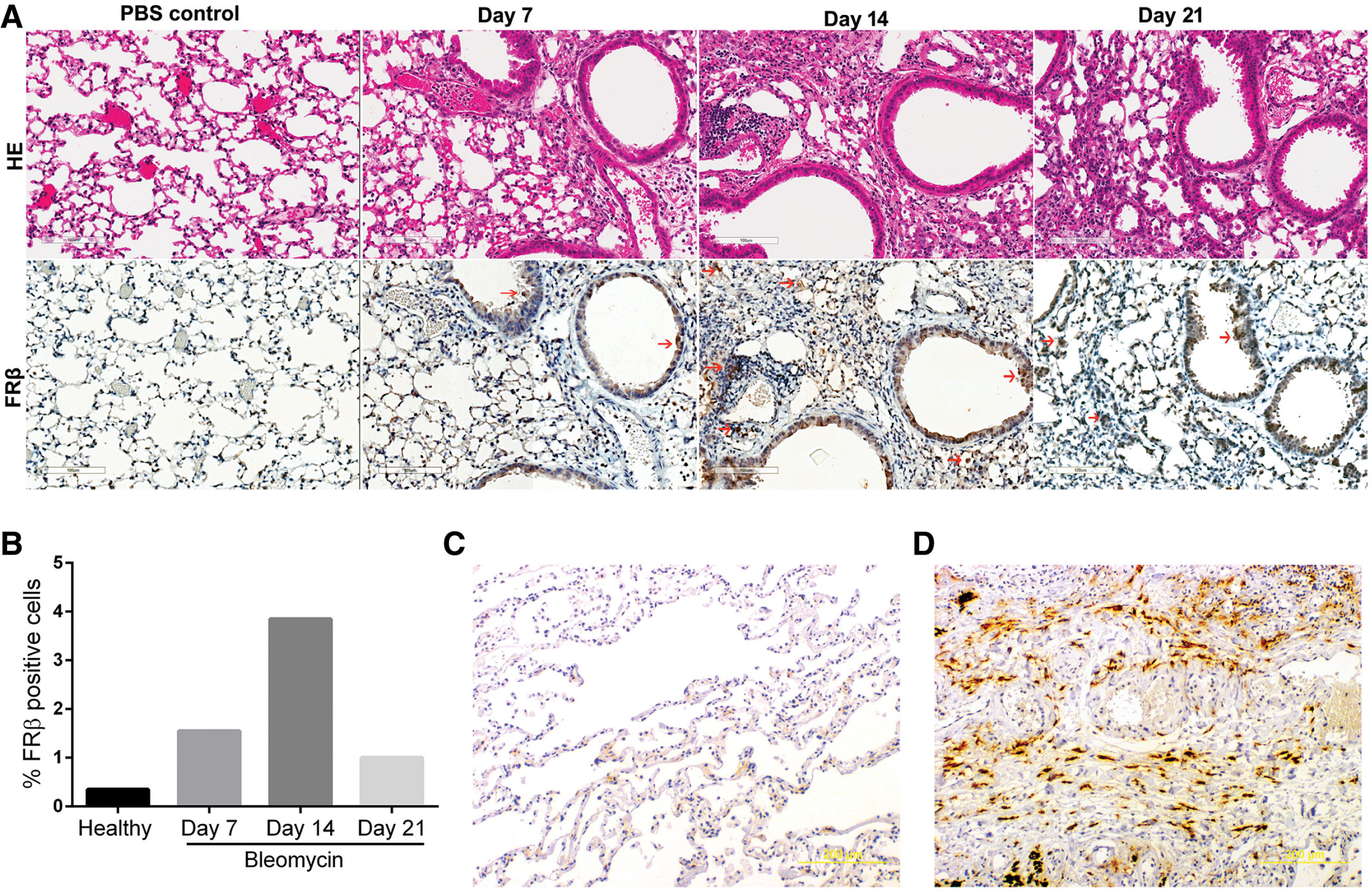
June 29, 2020
Fibrotic diseases cause organ failure that lead to ~45% of all deaths in the United States. Activated macrophages stimulate fibrosis by secreting cytokines that induce fibroblasts to synthesize collagen and extracellular matrix proteins. Although suppression of macrophage‐derived cytokine production can halt progression of fibrosis, therapeutic agents that prevent release of these cytokines (e.g., TLR7 agonists) have proven too toxic to administer systemically.
Read more >
October 31, 2018
Approximately 6.3 million bone fractures occur annually in the United States, resulting in considerable morbidity, deterioration in quality of life, loss of productivity and wages, and sometimes death (e.g., hip fractures). Although anabolic and antiresorptive agents have been introduced for treatment of osteoporosis, no systemically administered drug has been developed to accelerate the fracture-healing process. To address this need, we have undertaken to target a bone anabolic agent selectively to fracture surfaces in order to concentrate the drug’s healing power directly on the fracture site.
Read more >Low Institute For Therapeutics
3000 Kent Ave, Suite 1956
West Lafayette, IN 47906
Low Institute For Therapeutics
3000 Kent Ave, Suite 1956
West Lafayette, IN 47906